Por culpa de la pandemia, 1,4 millones de personas con tuberculosis dejaron de ser atendidas en 2020. La tuberculosis mata a 1,5 millones de personas al año. Este 24 de marzo, la ONU recuerda la existencia de este mal.
La tuberculosis (TB) mata a 1,5 millones de personas cada año, a pesar de que es curable y existe una vacuna para los niños. A pesar de ser una enfermedad prevenible y curable, la tuberculosis mató a 1,4 millones de personas en 2019, lo que la convierte en la enfermedad infecciosa más letal del mundo, por delante del VIH y la malaria. Alrededor de la mitad de las personas con TB se encuentran en ocho países del sur, pero en la mayoría de los países siguen detectándose casos de tuberculosis.
El 4 de marzo de 2021, la ciudad alemana de Krefeld anunció que un estudiante de 17 años había muerto de tuberculosis. En 2019, hubo 4.791 casos de tuberculosis en Alemania y 129 personas murieron a causa de la enfermedad, según el Instituto Robert Koch. En Venezuela, por otra parte, la ONG Una Ventana a la Libertad informó que las enfermedades, en especial la tuberculosis, fueron la primera causa de muerte en los Centros de Detención Preventiva del país durante 2020.
¿Qué es la tuberculosis?
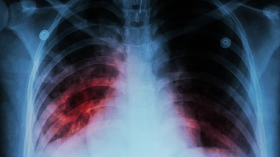
La tuberculosis está causada por la bacteria Mycobacterium tuberculosis y suele afectar los pulmones, pero también otras partes del cuerpo. Se transmite por el aire cuando las personas con TB activa en los pulmones tosen, estornudan o escupen. No se transmite por compartir utensilios para comer, dar la mano, abrazar, tocar la ropa de cama, el inodoro compartido, mantener relaciones sexuales o tener contacto con la saliva al besar a alguien.
Normalmente se requiere un contacto estrecho y prolongado para infectarse. Se calcula que una cuarta parte de la población mundial está infectada por la bacteria de la tuberculosis, según la OMS, y solo entre el 5% y el 15% de estas personas desarrollan la enfermedad. La mayoría de los pacientes tratados durante unas semanas ya no son contagiosas.
El hacinamiento en los hogares y espacios, la desnutrición, el VIH, la drogadicción y la diabetes son algunos de los factores de riesgo de la tuberculosis. La tuberculosis puede estar latente y demorar años en activarse, cuando el sistema inmunitario se debilita.
COVID-19 borra años de progreso
Mientras que los científicos han trabajado sin descanso para desarrollar vacunas contra el Sars-CoV-2, solo existe una vacuna eficaz contra la tuberculosis, el Bacilo de Calmette-Guérin (BCG). Se probó por primera vez en humanos en 1921. La vacuna BCG es bastante eficaz en los niños, pero no funciona tan bien en los adultos.
“La interrupción de los servicios esenciales para las personas con tuberculosis es solo un trágico ejemplo de las formas en que la pandemia está afectando de forma desproporcionada a algunas de las personas más pobres del mundo, que ya corrían un mayor riesgo de contraer la tuberculosis”, dijo el Director General de la OMS, Tedros Adhanom Ghebreyesus.
A principios de marzo, Stop TB Partnership, un grupo de organizaciones que trabajan para acabar con la tuberculosis, publicó una investigación en la que se afirmaba que 12 meses de COVID habían borrado 12 años de progreso en la lucha contra la tuberculosis. Los datos procedentes de la India y Sudáfrica también muestran que las personas infectadas por la tuberculosis y el COVID-19 tienen una mortalidad tres veces mayor que las personas infectadas únicamente por la tuberculosis.
Enviando corrección, espere un momento...