Imagen microscópica de neuronas de ratón preservadas con la técnica de congelación a alta presión | Johns Hopkins Medicine
visitas
VER RESUMEN
Resumen generado con una herramienta de Inteligencia Artificial desarrollada por BioBioChile y revisado por el autor de este artículo.
Científicos de la Facultad de Medicina de la Universidad Johns Hopkins, han desencadenado un debate en el campo de la biología al sugerir que las neuronas podrían tener una estructura diferente a la tradicionalmente aceptada en sus axones. Estos no serían tubos cilíndricos, sino que podrían tener la forma de un collar de perlas, lo que podría influir en la velocidad y precisión de la transmisión de señales cerebrales, sugieren.
Científicos de la Facultad de Medicina de la Universidad de Johns Hopkins llegaron a una controversial conclusión que se está debatiendo en la biología, las neuronas podrían tener una forma distinta a lo que se creía, específicamente en sus brazos, llamados axones.
“Los libros de texto de biología podrían necesitar una revisión”, dice un comunicado de la casa de estudios. La investigación fue liderada por Jacqueline Griswold estudiante de posgrado en Johns Hopkins y se publicó en Nature Neuroscience.
Su estudio, basado en neuronas de ratones, encontró que los axones, que son los “brazos” que se extienden entre células cerebrales e intercambian información, no son como tubos cilíndricos, sino que podrían tener la forma de un collar de perlas.
Esta no es la primera vez que se observan axones con esa forma, de hecho, este fenómeno de inflamación se produce en las neuronas moribundas, personas con Párkinson u otras enfermedades, neurodegenerativas. Pero los ratones del estudio no presentaban estas condiciones.
“Comprender la estructura de los axones es importante para entender la señalización de las células cerebrales. Son los cables que conectan nuestro tejido cerebral y permiten el aprendizaje, la memoria y otras funciones”, explicó el Dr. Shigeki Watanabe, profesor asociado de biología celular y neurociencia en la Facultad de Medicina de Johns Hopkins.
“Estos hallazgos desafían un siglo de comprensión sobre la estructura de los axones”, añadió.
Según el estudio, esta forma abultada de los brazos de las neuronas además tiene una utilidad, y es que podría influir en la rapidez y la precisión con la que estas células cerebrales envían las señales.
“Un espacio más amplio en los axones permite que los iones (partículas químicas) pasen más rápidamente y eviten atascos”, señaló Watanabe.
Axones de neuronas de ratón con técnicas de cultivo diferentes | Johns Hopkins Medicine
Las neuronas no son perfectas
Pero no todos los científicos están convencidos de esta nueva teoría. En un artículo de la revista Science, otros expertos la rebaten, señalando que si bien podrían tener esta forma irregular, no sería algo que cambiaría un siglo de conocimientos sobre las neuronas.
“Creo que es cierto que (el axón) no es un tubo perfecto, pero tampoco es solo esta especie de acordeón lo que muestran“, comentó el neurocientífico Christophe Leterrier, de la Universidad de Aix-Marsella.
Además, apuntan, la forma está ahí, pero podría haberse ocasionado por otras razones. Los expertos tuvieron que preparar y congelar las muestras de ratones antes de poder estudiarlas, lo que pudo cambiar los tejidos y generar resultados confusos.
De hecho, en observaciones previas se había documentado que los axones podían formar “bolitas” cuando estaban en mal estado o expuestos a ciertos tipos de estrés. Otra explicación sugiere que los bultos podrían ser atascos.
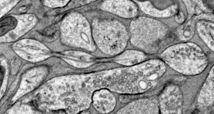
Sin embargo, el método de Griswold asegura ser diferente, ya que preparó las células con una técnica de “congelación a alta presión”, que puede preservar la estructura fina de las neuronas.
Vista microscópica de axones perlados en neuronas vivas | Johns Hopkins Medicine
Así, con un microscopio electrónico, vio que los bultos de 200 nanómetros de diámetro, distribuidos uniformemente a lo largo de los axones de los ratones, no eran como las bolitas producidas por atascos. De hecho, no tenían nada dentro.
De todas maneras, los resultados siguen en duda. “Si bien la congelación rápida es un proceso extremadamente rápido, puede ocurrir algo durante la manipulación de la muestra… que también provoque la formación de perlas”, planteó, por su parte, el neurocientífico Pietro De Camilli, de la Facultad de Medicina de Yale.
“Los axones pueden llegar a ser así… pero también pueden recuperarse de ello, pueden volver a verse como tubos normales“, agregó.
Para clarificar este debate, los científicos de Johns Hopkins planean poder revisar axones de tejido cerebral humano para estudios futuros, con autorización de pacientes de cirugía cerebral y de personas que murieron por enfermedades neurodegenerativas y donaron sus cerebros a la ciencia.
Estudio científico
Este artículo se basa en un estudio científico que puede ser sometido a nuevas pruebas para ser validado o descartado. Sus resultados NO deben considerarse concluyentes.
Nuestra sección de OPINIÓN es un espacio abierto, por lo que el contenido vertido en esta columna es de exclusiva responsabilidad de su autor, y no refleja necesariamente la línea editorial de BioBioChile
Estamos recopilando más antecedentes sobre esta noticia, quédate atento a las
actualizaciones.
Alerta de Spoiler
Este artículo podría contener información clave sobre la trama de un libro, serie o
película.
Advertencia de imágenes explícitas
¡Cuidado! Las imágenes de este artículo pueden herir la sensibilidad de algunas personas.
VER RESUMEN
Resumen generado con una herramienta de Inteligencia Artificial desarrollada por BioBioChile y revisado por el autor de este artículo.
{{ post.resumen_de_ia }}
Este artículo describe un proceso judicial en curso
Existe la posibilidad de que los cargos sean desestimados al finalizar la investigación, por
lo cual NO se debe considerar al o los imputados como culpables hasta que la Justicia
dicte sentencia en su contra. (Artículo 04 del Código Procesal Penal)
Violencia contra la mujer
Si eres víctima o testigo de violencia contra la mujer, denuncia al
149 de Carabineros, recibe orientación llamando al
número corto 1455 del Sernameg o pulsa para
usar el chat de orientación Sernameg
Suicidio
Si necesitas ayuda psicológica especializada o conoces a alguien que la requiera, el Ministerio
de Salud tiene un teléfono de ayuda atendida por profesionales todos los días del año y las 24 horas,
marcando desde celulares el *4141. Además, puedes recurrir a Salud Responde en el 600 360 7777.
Las personas sordas pueden recibir asistencia ingresando a
este enlace.
Transporte privado
Las aplicaciones de transporte privado pagado aún no se encuentran normadas por la legislación chilena.
Estudio científico
Este artículo se basa en un estudio científico que puede ser sometido a nuevas pruebas para ser validado o descartado. Sus resultados NO deben considerarse concluyentes.