La empresa de medicina genómica, uniQure, parece haber encontrado una posible cura para la enfermedad de Huntington. Así lo revelaron tras publicar los resultados preliminares de un exitoso ensayo clínico.
Los científicos consiguieron realizar una cirugía que, tres años después, desaceleró la enfermedad un 75%, según midieron evaluando la cognición, la función motora y la autonomía de los pacientes.
Esto significa que, el deterioro que esta condición puede causar en un año, tardaría 4, sumando décadas de “buena calidad de vida” a los pacientes, según explicó la neuróloga Sarah Tabrizi a la BBC.
Sería la primera vez que se documenta un tratamiento exitoso para la rara enfermedad de Huntington.
¿Qué es la enfermedad de Huntington?
Se trata de una condición genética neurodegenerativa, que suele causar trastornos motrices. De acuerdo con Clínica Mayo, “también causa enfermedades mentales y problemas para pensar y planificar”.
Según recoge la BBC, es hereditaria y sus síntomas son una combinación de demencia, parkinson y la enfermedad de la neurona motora. Los primeros síntomas aparecen entre los 30 y 40 años y puede ser fatal en dos décadas.
Se considera una de las enfermedades más crueles y devastadoras, aunque afecta a una pequeña parte de la población. En Reino Unido, Estados Unidos y Europa afecta a unas 75.000 personas.
En el mundo, su prevalencia es de 5 a 10 casos cada 100 mil habitantes, mientras que en Chile, de acuerdo con la Fundación Huntington, hay alrededor de 400 casos.
Lo que hace esta enfermedad es degenerar progresivamente las células nerviosas en el cerebro, debido a una mutación genética que convierte la proteína huntingtina en un “asesino de neuronas”, como lo llamaron los expertos.

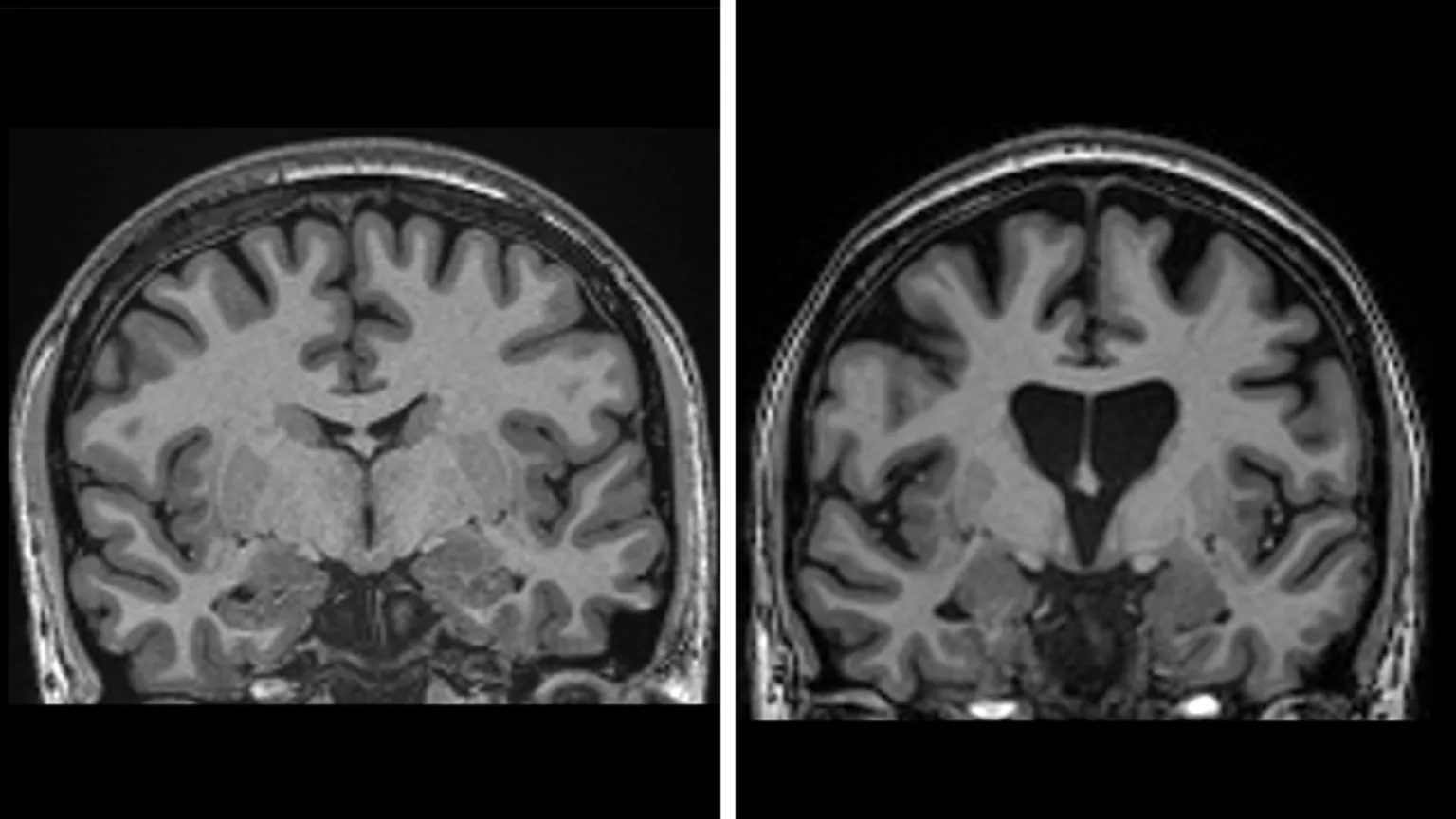
*Escáner que muestra el antes y después de la enfermedad de Huntington, con pérdida de masa cerebral | Universidad de Carolina del Sur
¿En qué consistió el tratamiento?
El tratamiento consistió en reducir los niveles de la huntingtina con una sola dosis que se aplica a través de una delicada cirugía cerebral, que puede durar entre 12 a 18 horas.
Para ello se combinó terapia genética y tecnología de silenciamiento genético.
Los científicos alteraron un virus que se infunde en el cerebro mediante la cirugía y le da a las neuronas la capacidad de protegerse, combatiendo la huntingtina.
Tabrizi, que también es directora del Centro de Enfermedad de Huntington del University College de Londres, expresó que “nunca en nuestros sueños más locos hubiéramos esperado una desaceleración del 75% en la progresión clínica”.
“Había muchas posibilidades de que nunca viéramos un resultado como este, así que vivir en un mundo donde sabemos que esto no solo es posible, sino que la magnitud real del efecto es impresionante, es muy difícil encapsular por completo la emoción”, añadió Ed Wild, neurólogo consultor del Hospital Nacional de Neurología y Neurocirugía del UCLH.
El tratamiento, que se aplicó en 29 pacientes, se determinó “seguro”, pero algunos de los participantes presentaron efectos como dolores de cabeza y confusión, que debieron tratar con esteroides.
Los expertos calculan que será un tratamiento caro, por ende tal vez poco accesible, pero es “un comienzo” y podría necesitarse solo una vez en la vida.