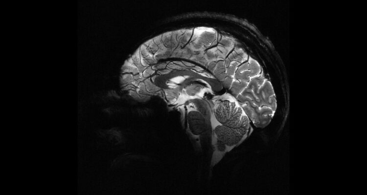
La máquina de resonancia magnética más potente del mundo alcanza los 11,7 Teslas de energía, cuando las convencionales varían entre 1,5 y 3 Teslas.
La Comisión de Energía Atómica (CEA) de Francia, reveló esta semana las primeras imágenes del cerebro humano tomadas con el escáner de resonancia magnética más potente del mundo.
De acuerdo con un comunicado de CEA, esta hazaña fue posible gracias a la máquina Iseult, que en 2021 escaneó por primera vez una calabaza y ahora recibió el visto bueno para ser probada en humanos.
Este escáner tiene un campo magnético de 11,7 Teslas, que son la cantidad de energía que circula en un sistema de resonancia magnética. Las máquinas convencionales suelen tener entre 1,5 a 3 Teslas.
“Su ambición es estudiar cerebros humanos sanos y enfermos con una resolución sin precedentes, lo que nos permitirá descubrir nuevos detalles relacionados con la anatomía, las conexiones y la actividad cerebral”, señalan desde CEA.
El escáner de resonancia magnética más potente del mundo
Isault sólo tardó 4 minutos en hacer el escáner, que resultó en las imágenes atómicas más notables del cerebro en la historia. “Las imágenes tienen una resolución impresionante para un tiempo de adquisición tan corto: resolución en el plano de 0,2 mm y grosor de corte de 1 mm, lo que representa un volumen equivalente a unos pocos miles de neuronas”, describe el organismo.
De hecho, una máquina convencional tardaría horas para obtener la misma resolución. Los expertos apuntan a que esto “no es realista en la práctica”, ya que mucho tiempo de resonancia incomoda a los pacientes y cualquier movimiento podría arruinar las imágenes.
“Lograr resoluciones tan detalladas nos permitirá obtener información antes inalcanzable sobre los mecanismos cerebrales, comprender cómo nuestro cerebro codifica nuestras representaciones mentales y descubrir qué firmas neuronales están asociadas con el estado de conciencia”, señalan.

Asimismo, desde CEA esperan que la información anatómica ultradetallada obtenida por Iseult ayudará a apoyar el diagnóstico de algunas enfermedades neurodegenerativas como Parkinson y Alzheimer.
Además, también les permitirá observar en detalle los tratamientos para otras condiciones y así comprender mejor su eficacia. Por ejemplo, ver cómo se distribuye el litio, que es el fármaco para la bipolaridad, en el cerebro.
“Con el proyecto Iseult, se abre ante nuestros ojos un mundo completamente nuevo y estamos entusiasmados de explorarlo. Todavía necesitamos varios años de investigación para desarrollar y mejorar nuestros métodos de adquisición y garantizar que los datos tengan la mayor calidad posible”, mencionó Nicolas Boulant, director del proyecto Iseult y director de investigación del CEA.
“Nuestro objetivo es investigar las enfermedades neurodegenerativas de aquí a 2026-2030, así como otras enfermedades que pertenecen más al ámbito de la psiquiatría, como la esquizofrenia y los trastornos bipolares. ¡Las ciencias cognitivas también tendrán una importancia clave en nuestra investigación!”, agregó.
Enviando corrección, espere un momento...